Стоматология Евро-Стом (Евростом)

Опубликовано 17-12-2025

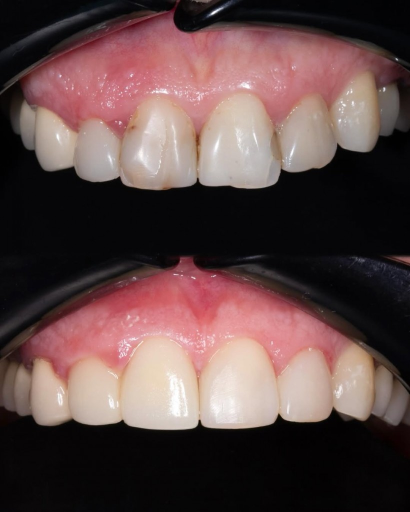
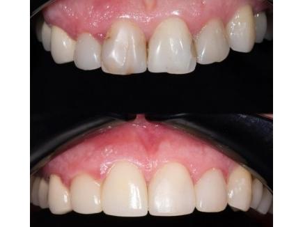
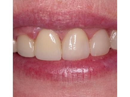
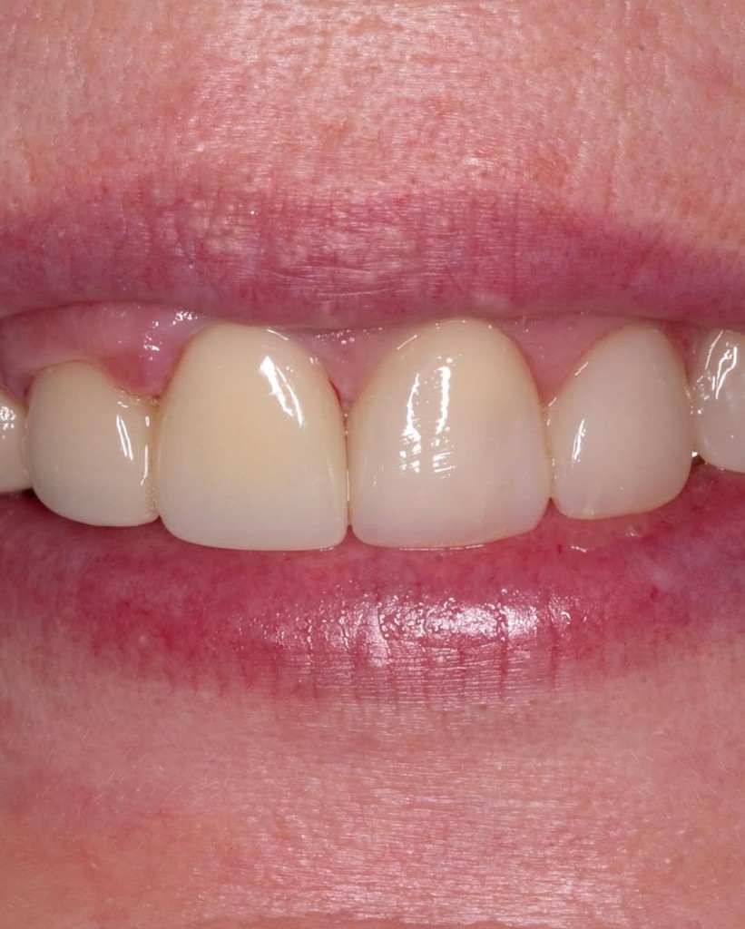
Не все зубы нужно препарировать одинаково. Наш принцип - максимальное сохранение живых тканей!

Мы столкнулись с комбинированной ситуацией:

  1. Два передних зуба (12,11) уже были без нерва и нуждались в надёжной защите.
  2. Два соседних (21,22) - витальные (живые).

Что бы не препарировать все четыре зуба под коронки для симметрии, мы выбрали оптимальный вариант: 

  • На депульпированные - прочные и эстетичные коронки из диоксида циркония.
  • На витальные - тончайшие композитные виниры, созданные вручную.

Так мы гарантировали долговечность депульпированным зубам и без необходимости не тронули живые! 

Врач стоматолог-ортопед Бострем Елена.
Врач стоматолог-терапевт Бедерова Ольга.

Ознакомиться с товарами и ценами >>>


ETPVIT.BY - ЭЛЕКТРОННАЯ ТОРГОВАЯ ПЛОЩАДКА

Каталог товаров и услуг
Дом и квартира
Дом и квартира
Строительство и ремонт
Строительство и ремонт
Работа и бизнес
Работа и бизнес
Семья и дети
Семья и дети
Шоппинг
Шоппинг
Торговые центры, рынки1
Торговые центры, рынки
Отдых и развлечение
Отдых и развлечение
Услуги в Витебске
Услуги в Витебске