Семейная стоматология ПЛОМБИР

Опубликовано 27-07-2019

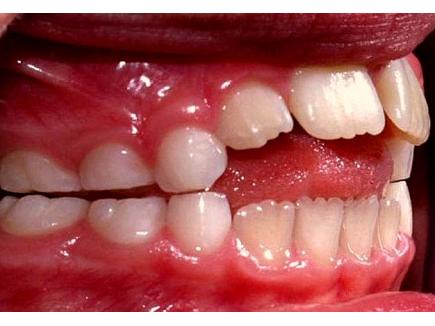
ОТКУДА БЕРЕТСЯ НЕПРАВИЛЬНЫЙ ПРИКУС У ДЕТЕЙ?

 

Неправильный прикус начинает формироваться еще в младенческом возрасте. Существует несколько основных причин возникновения искривления зубов у детей.

 

Причины формирования неправильного прикуса

 

Одной из причин развития патологического прикуса является искусственное вскармливание. Поскольку у новорожденных детей нижняя челюсть меньше, чем верхняя, выравнивание происходит в первый год жизни. Важную роль в формировании правильного прикуса играет естественное вскармливание, т.к. при сосании груди ребенок немного выдвигает нижнюю челюсть, активизируется работа лицевых мышц и челюсть приобретает правильную форму. При искусственном кормлении напрягать нижнюю челюсть нет необходимости, ребенок может просто проглатывать молоко и поэтому возникает неправильный прикус. Кормить бутылочкой можно начинать минимум спустя 3 месяца, но рекомендуется максимально откладывать этот момент.

 

На формирование прикуса влияет вынужденное положение головки во время кормления или сна. Нежелательно сильно запрокидывать голову. К тому же, ребенку необходимо привыкнуть к переходу от мягкой пищи к твердой. Если жевательный аппарат работает не полностью, челюсть развивается неправильно. В таком случае зубы становятся кривыми и неправильно располагаются.

 

Если ребенок спит в одной позе (на животе, спине, боку и т.д.), возрастает вероятность сужения или смещения нижней челюсти.

 

На формирование неправильного прикуса и кривых зубов влияет и неправильная осанка. Когда голова располагается впереди вертикальной оси туловища, смещаются сроки прорезывания зубов. Сроки развития и форма челюсти нарушается вследствие недостатка в организме кальция и фтора.

 

Родители должны следить за вредными привычками детей. Если малыш сосет палец, прикусывает губы, грызет игрушки, это неправильно. Подобные вещи могут привести к кривизне зубов и формированию неправильного прикуса, который потом придется долго исправлять. Ребенка стоит своевременно отучить от соски, иначе его зубы отодвинутся назад, и появится щель между зубами, которая в стоматологии называется диастема.

 

Одной из причин развития недостатков челюсти возникает из-за частных заболеваниях аденоидов и других инфекций полости носа. Ребенку придется часто дышать ртом, что приводит к нарушению роста лицевого черепа и формированию неправильного прикуса. Создается характерный «аденоидный» тип лица.

 

Случается, что челюстные аномалии являются наследственными проблемами.

 

Как исправить неправильный прикус

 

Если грудное вскармливание невозможно, необходимо приобрести специальную соску с небольшим отверстием. Таким образом, молочно не будет литься ему прямо в рот. Не рекомендуется выбирать также длинные соски, поскольку она меняется нормальное положение языка и вытягивает щеки.

 

Положите ребенка как при кормлении грудью и приступайте к кормлению из бутылочки. Во время кормления не кладите ребенка в кроватку с запрокинутой головой.

 

Обязательно следите за сном ребенка, переворачивайте его, чтобы он н лежал в одной позе. Под голову кладите ровную и невысокую подушечку. Полностью искорените все вредные привычки ребенка, такие как сосать палец и другие предметы.

 

От соски пустышки ребенка стоит отучать уже в 9-ти месячном возрасте, при появлении первых зубов ребенка стоит переводить на твердую пищу, чтобы он привыкал активно работать челюстью. Пусть лучше возникнет усталость от жевания, чем слабость зубов и мышц в дальнейшем.

 

Если же проблемы с прикусом уже возникли, обязательно нужно обратиться к врачу-ортодонту. Записаться можно по телефону +375 29 898 03 03.


ETPVIT.BY - ЭЛЕКТРОННАЯ ТОРГОВАЯ ПЛОЩАДКА

Каталог товаров и услуг
Дом и квартира
Дом и квартира
Строительство и ремонт
Строительство и ремонт
Работа и бизнес
Работа и бизнес
Семья и дети
Семья и дети
Шоппинг
Шоппинг
Торговые центры, рынки1
Торговые центры, рынки
Отдых и развлечение
Отдых и развлечение
Услуги в Витебске
Услуги в Витебске