Стоматология Евро-Стом (Евростом)

Опубликовано 27-05-2025

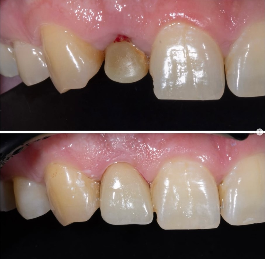
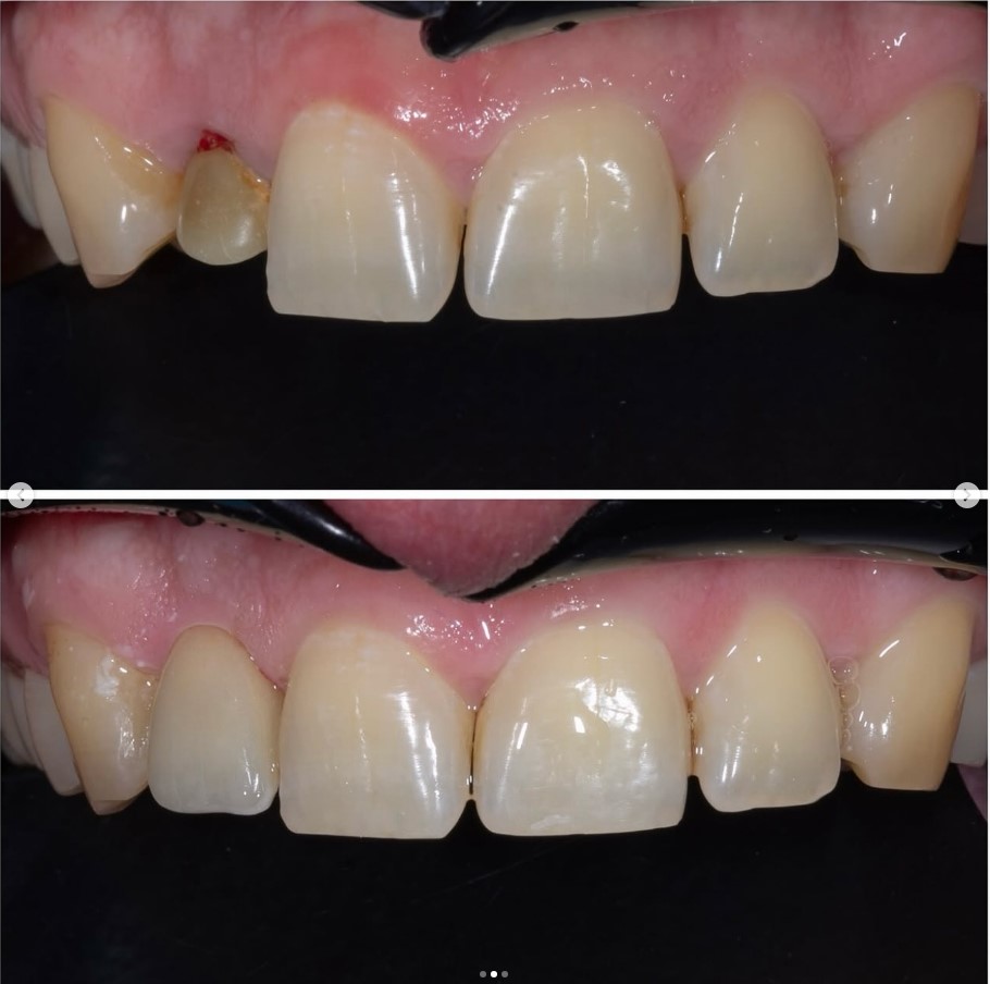
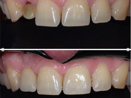
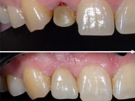
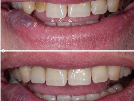
Одиночная реставрация в переднем отделе. Фотоотчет

Самая сложная и непредсказуемая работа в практике команды врача и техника - одиночная реставрация в переднем отделе. Как правило, центральный или боковой резец.

В данном случае боковой резец.

Всего 4 приема:
1. Консультация + фото для анализа цвета и принятие решения по типу материала для реставрации и методу препарирования тканей зуба.
2. Непосредственно обработка зуба и временная коронка по методике В.О.Р.Т для формирования десневого края и улучшения эстетических параметров
3. Оптические оттиски
4. Фиксация коронки.

Так сложно, но возможно!


ETPVIT.BY - ЭЛЕКТРОННАЯ ТОРГОВАЯ ПЛОЩАДКА

Каталог товаров и услуг
Дом и квартира
Дом и квартира
Строительство и ремонт
Строительство и ремонт
Работа и бизнес
Работа и бизнес
Семья и дети
Семья и дети
Шоппинг
Шоппинг
Торговые центры, рынки1
Торговые центры, рынки
Отдых и развлечение
Отдых и развлечение
Услуги в Витебске
Услуги в Витебске