Стоматология Евро-Стом (Евростом)

Опубликовано 18-02-2025

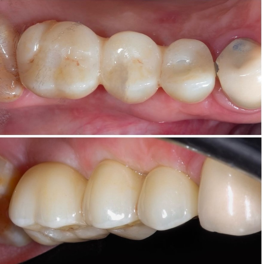
Мостовидный протез из диоксида циркония на мультиюнитах

Мультиюниты- абатменты, которые снимают напряжения на имплантатах и винтах, тем самым увеличивая долгосрочность протезирования и выживаемость имплантатов, профилактируют основное осложнение - переимплантит.

Главное преимущество протезирования на имплантатах с мультиюнитами - перевод конусного соединения в плоскостное; возможность более качественного гигиенического ухода за ортопедической конструкцией.

Осмотр через 2 недели после фиксации.

  • Хирургия - Сарасеко Оксана
  • Протезирование - Бострем Елена

Запись на прием по телефону: +375 29 814-11-88.


ETPVIT.BY - ЭЛЕКТРОННАЯ ТОРГОВАЯ ПЛОЩАДКА

Каталог товаров и услуг
Дом и квартира
Дом и квартира
Строительство и ремонт
Строительство и ремонт
Работа и бизнес
Работа и бизнес
Семья и дети
Семья и дети
Шоппинг
Шоппинг
Торговые центры, рынки1
Торговые центры, рынки
Отдых и развлечение
Отдых и развлечение
Услуги в Витебске
Услуги в Витебске