Стоматология Евро-Стом (Евростом)

Опубликовано 18-07-2025

Как можно эстетически подкорректировать врожденные аномалии

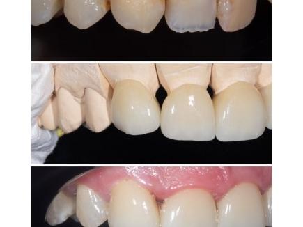
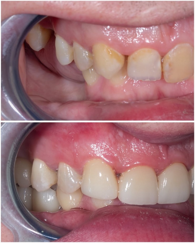
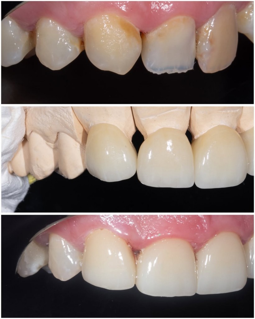
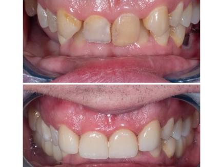
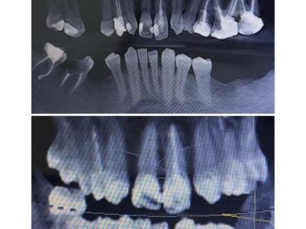
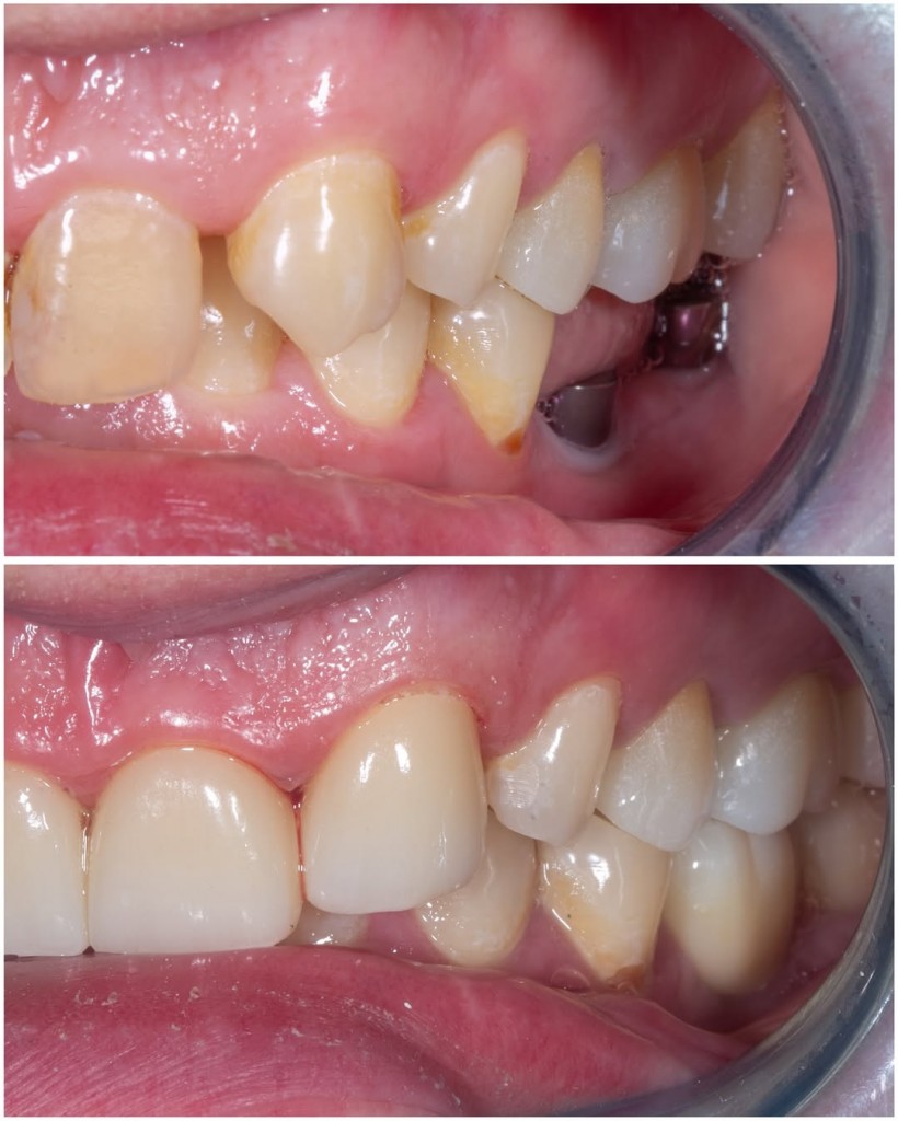
В данном клиническом случае мы показываем как можно эстетически подкорректировать врожденные аномалии. У пациента с рождения отсутствуют вторые резцы, их место заняли клыки.

Визуально мы видим несоответствие формы,  наличие промежуткав между зубами, а также дисколорит.

Было предложено исправить данный дефект с помощью коронок из диоксида циркония.

Результат понравился как пациенту, так и нам. 

А вам?

Ознакомиться с товарами и ценами >>>


ETPVIT.BY - ЭЛЕКТРОННАЯ ТОРГОВАЯ ПЛОЩАДКА

Каталог товаров и услуг
Дом и квартира
Дом и квартира
Строительство и ремонт
Строительство и ремонт
Работа и бизнес
Работа и бизнес
Семья и дети
Семья и дети
Шоппинг
Шоппинг
Торговые центры, рынки1
Торговые центры, рынки
Отдых и развлечение
Отдых и развлечение
Услуги в Витебске
Услуги в Витебске