Стоматология Евро-Стом (Евростом)

Опубликовано 11-03-2025

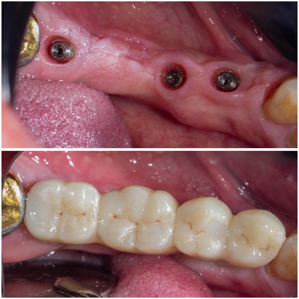
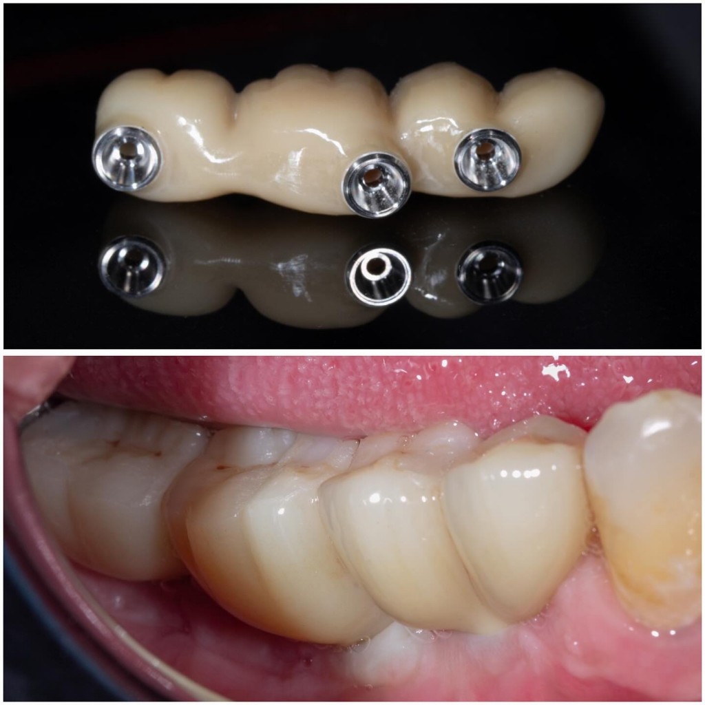
Имплантация сегодня - это безопасно и комфортно

Убеждаем вас, что имплантация сегодня - это безопасно и комфортно!

Минимальные разрезы и точные техники сокращают период восстановления, позволяя пациентам не испытывать сложности в реабилитации.

Имплантат ощущается и работает как ваш собственный зуб. Это позволяет на 100% восстановить нарушенную жевательную функцию и минимизировать риски убывания костной ткани.

Имплантат фиксируют непосредственно в кости и мягких тканях челюсти, без обточки соседних зубов и дополнительных конструкции.

Запись на приём или бесплатную консультацию: + 375 29 814-11-88 (МТС); + 375 29 627-26-36.


ETPVIT.BY - ЭЛЕКТРОННАЯ ТОРГОВАЯ ПЛОЩАДКА

Каталог товаров и услуг
Дом и квартира
Дом и квартира
Строительство и ремонт
Строительство и ремонт
Работа и бизнес
Работа и бизнес
Семья и дети
Семья и дети
Шоппинг
Шоппинг
Торговые центры, рынки1
Торговые центры, рынки
Отдых и развлечение
Отдых и развлечение
Услуги в Витебске
Услуги в Витебске