Внимание! Для добавления отзыва Вы должны быть авторизированы как пользователь!
Логин или e-mailПароль
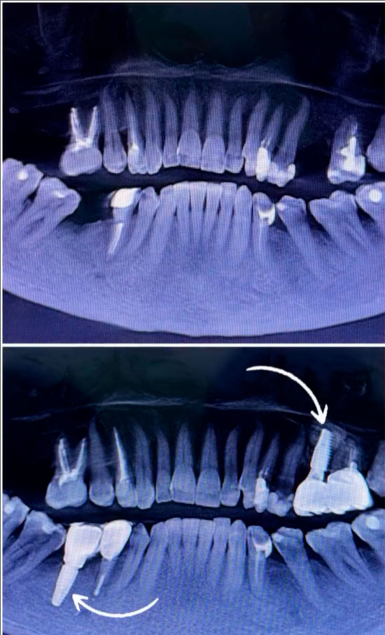
Большая операция по установке имплантатов. Все прошло отлично!
Видео здесь >>>Врач-стоматолог-хирург-имплантолог Сарасеко ОксанаТел.: +375 29 814-11-88.
Ознакомиться с товарами и ценами >>>
Памятники. Ритуальные услуги в Витебске
Купить пластиковые окна в Витебске
Стоматология в Витебске
Натяжные потолки в Витебске. Установка
Стройматериалы в Витебске.
Обучение в Витебске. Курсы. Переподготовка
Центры медицинских платных услуг
Кафе и рестораны в Витебске
Балконы и лоджии в Витебске
Психолог в Витебске. Отзывы. Цены
Мягкая мебель в Витебске
Купить подушку, плед, одеяло в Витебске
Видеонаблюдение в Витебске. Купить